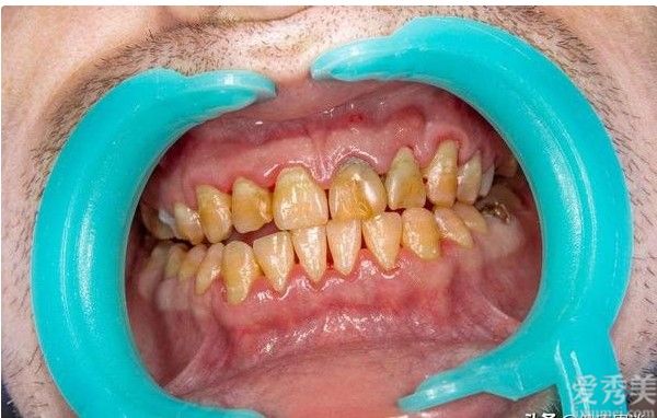
牙齿是人体内主要的咬合人体器官,要是没有牙齿,大家 就只有吃流食,不然固态食材进到人胃肠以后就会提升消化吸收压力,提升胃肠病症的发病率。我们都知道,小朋友在六个月以后就会逐渐出牙,而人老了也会掉牙齿。老人掉牙齿针对我们来说是再常规但是的事儿。但是有些人十分好奇心,人老了以后确实会将全部的牙齿掉光吗?

人老了以后不一定会将全部的牙齿掉光。尽管掉牙齿是老人必定会出现的事儿,可是有一些老人可以维护保养好自身的牙齿,降低牙齿病症的发病率,牙齿掉下来的粒数也会相对降低。乃至有的老人到了70岁之后都还能维持一口好牙。假如老人不期望自身的牙齿所有掉下来,就需要根据下列3点防止牙周炎的产生,还需要留意牙齿的医护关键点。

1、维持牙科日常保洁。牙周炎的产生大部分和不留意口腔健康相关。假如老人平常培养每天刷牙漱口、饭后漱口的习惯性,就可以降低牙菌斑的产生,防止牙菌斑长期粘附在牙齿表层,就可以使牙齿少遭受损害。由于这种牙菌斑产生牙垢以后就会刺激性牙床及其毁坏牙釉质,因此会造成牙龈发炎、牙周炎,使牙床越来越肿胀、牙齿缝隙扩大,乃至发生牙龈萎缩,导致牙齿松脱和掉下来。
2、偏食和挑食。假如一个人時间偏食和挑食,常常吃肉制品,不喜欢吃蛋类食品和各种蔬菜、新鲜水果,长期出来就会导致人体缺乏维生素a、维C及其维他命D、蛋白、钙之类的营养元素,进而导致牙齿构造不足牢固,还很容易引起牙龈发炎、牙周炎、牙龈肿痛。不仅如此,有的病人也有很有可能出现缺铁性贫血、血糖低。

3、欠佳的用牙习惯性。有的人进食的情况下习惯性用一侧牙齿咬合食材,长期如此就会导致不常见的牙齿表层沉积过多的牙菌斑及其牙垢,进而提高牙周炎的发病率。殊不知,常常采用的牙齿也很容易遭受过多磨损,导致牙周炎产生。假如夜里睡觉的时候有磨牙齿的状况,也会造成牙齿过多损坏使牙周组织所承载的压力加剧,进而造成牙周炎的发病率提升。
4、全身要素。所说全身要素,关键就是指身体发生中重度缺乏营养、内分泌紊乱、长期服用一些药品或是得了了血夜疾病,这种状况均有很有可能导致牙周组织的抵抗能力变弱,使牙齿更易于得了病症。假如大家族有牙周炎病历,平常又不留意维护牙齿,得了牙周炎的几率也需要比普通人更高一些。

牙齿的医护关键点有什么?
1、迟早刷牙漱口。所有人都需要保证迟早刷牙漱口,尤其是在入睡以前更要细心将牙齿清洗整洁,那样才可以防止晚间睡觉的时候滋长过多的牙菌斑,使牙齿遭受越来越多的损害。必须留意的是在刷牙漱口的那时候要采用合理的方法,不可以随便刷几下就完毕,也不可以用力过猛,以防清理不合格或是损害牙床。

2、挑选适宜的牙膏牙刷。要想维护牙齿,大伙儿就需要挑选适宜的美白牙膏和软毛牙刷。因为每一个人的身体素质不一样,大伙儿可以按照自己的需要来选取美白牙膏,例如常常口腔上火的人可以挑选草本牙膏,要想美白皮肤牙齿的人可以挑选小苏打牙膏。而软毛牙刷的挑选,提议我们尽可能挑选柔软性适合的软毛牙刷,以防牙刷毛过软,刷不干净牙齿或是牙刷毛扎实,损害了牙床。

人老了后不一定会将全部的牙齿掉光,假如老人平常不留意口腔健康、常常偏食或是挑食、用牙不合理或是身患一些病症都是有很有可能导致牙齿很早掉光。提议各位在日常要培养每天刷牙漱口、常常漱口清洁的习惯性,还需要挑选适宜的沐浴露及其软毛牙刷,加强牙齿和牙齿的维护保养,以防牙齿经常会出现问题。
[热门综合]编辑:凹凸曼2026-03-29
漫威新剧异人族抢占神盾局特工强势上映,漫威超级英雄剧集电视剧备受期待,目前第一季已经开播,不过评价没有预想的好,不妨先来了解一下剧情吧!漫威新剧《异人族》介绍《异人族》演员方便包括有安…… 查看全文>>
[热门综合]编辑:老脆2026-03-29
吃个橘子吧是最近从电影《我不是药神》火起来的一个梗,那么吃个橘子吧什么意思?吃个橘子吧什么梗?下面就和小编一起来了解一下!吃个橘子吧什么意思橘子,成为了吕受益生命的隐喻,它鲜艳饱满,酸…… 查看全文>>
[热门综合]编辑:豆豆2026-03-29
六一儿童节这天张卫健晒夫妻照上了热搜,如今54岁的张卫健看起来十分年轻,就在前段时间他还传出和主播欧绮霞的绯闻,如今上传与妻子合照也是侧面回应此事了。张卫健晒夫妻照前段时间张卫健才被港媒…… 查看全文>>
[热门综合]编辑:甜甜2026-03-29
最近看到网上好多人的在说“巨婴”这个词,小编倒是很好奇巨婴是什么梗?什么意思?出自哪里?下面来看看。“巨婴”是什么意思作为网络语的该词,指的是心理滞留在婴儿水平的成年人。他们极度自私,…… 查看全文>>
[热门综合]编辑:甜甜2026-03-29
含羊毛量越高的大衣保暖性能和手感质感越好,现在市面上常见的羊毛分为澳毛和普通羊毛,那么二者有什么区别?澳毛和羊毛大衣哪个好?跟着小编一起来了解下吧!澳毛和羊毛大衣的区别澳毛顾名思义就是…… 查看全文>>






