寄生虫是一种很恐怖的东西,其中某些在生活中经常见到。那么大家知道有些寄生虫相当恶心恐怖吗,下面一起看看十大最恶心寄生虫吧。

臭虫主要吸食血液,假如它们叮咬人类的感觉,和蚊子有些类似,有些人对于其唾液有过敏的情况。因为这种虫子只要爬过某些地方,就有有很难闻的味道,所以被称为臭虫。

寄生藤壶喜欢居住在宿主的子宫当中,并且最终让宿主完全感染。不过这种虫子只会感染螃蟹,对人类无害,只是看着有些恶心罢了。

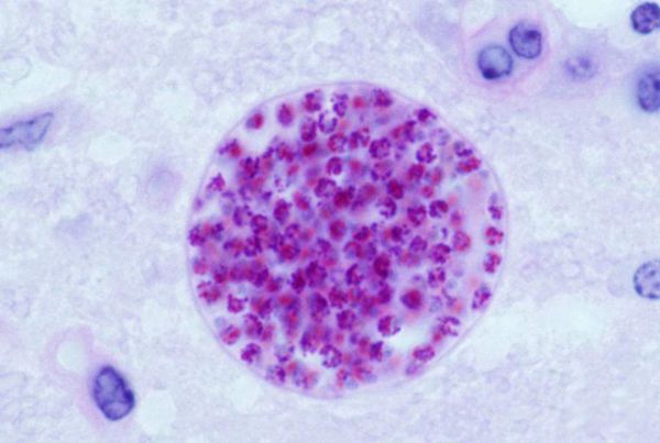
十大最恶心寄生虫之一弓浆虫,这种虫子可以居住在大脑当中,是相当危险的生物。人类也是可以感染的,甚至于影响人的身体健康,某些人因此患上精神类疾病。

绦虫喜欢寄生在人类的身体当中,甚至于主要吃人体肠壁上面的血液,假如感染上了这种寄生虫之后患者身体体重可能急剧下降,身体也会变差很多。

人体寄生虫之一蛔虫,这是相当常见的一种生物,在很多人身体当中都能看到。其中很多患者没有太大的感觉,但是一些可能会感觉身体不舒服,并且吃掉身体的营养成分。

疥螨可能会让人患上某些皮肤疾病,不过不用担心,这是很容易治疗的,不过想想有些恶心就是了。

非洲眼线虫可以居住在眼睛当中,有时候会在眼睛周围爬来爬去,甚至于可以在皮肤下面随便爬行。这种虫子虽然会让人很烦恼,但是可以通过手术去除它。

沙蚤会入侵人体四肢皮肤等等,并且从脚底或者脚趾甲入侵人体,这种疾病在非洲乌干达相当肆虐,会让人感觉痛苦,严重时候可能会生命威胁。

麻痹蜱在澳洲很是常见,假如人们感染了这种虫子的话,可能会导致一些红斑,比较严重的时候会让人肺部瘫痪,甚至于呼吸衰竭等等。

最后一个上榜十大最恶心寄生虫的是扁形虫,这种虫子的卵和蜗牛很是相似,所以可能会被蜗牛吃掉,然后不断在身体当中发育。这是很容易感染宿主的,复活起来也很是容易。
[热门综合]编辑:老脆2026-03-12
天下足球马凡舒跳蚤门揭秘,走秀泳裤掉落画面春光乍现,《天下足球》是播报体育相关报道的电视节目,马凡舒没有参加这个节目之前,主持人外加解说员纯一色都是爷们儿,自从马凡舒加入进来,《天下足…… 查看全文>>
[热门综合]编辑:喵猫2026-03-12
景甜,华语影视女演员,因主演古装片《战国》获得广泛关注,然而,景甜最令人好奇的莫过于她的背景了!而生活中,景甜的家世到底有多强?万达二公子?景甜和王思聪什么关系? 景甜背景曝光? …… 查看全文>>
[热门综合]编辑:凹凸曼2026-03-12
红婶为什么杀女的,因为红婶是一部恐怖片中的人物,恐怖片中的杀人情节不就是这样吗?杀掉很多女喽啰(阴性生物产生智慧),红婶穿着红色的衣服,很多恐怖片都是红衣女鬼,是日本恐怖片《鬼女魔咒》里…… 查看全文>>
[热门综合]编辑:甜甜2026-03-12
倒流香为什么叫死人香家里能用吗?没有害处只是放家里不吉利。一般不叫死人香,稍微有点素质的都不会这么叫。据说倒流香是由塔香演变而来,而塔香乃坟头香,坟头那就关联到死人了,所以得此名。在风…… 查看全文>>
[热门综合]编辑:甜甜2026-03-12
对于神雕侠侣的古天乐版本的,可以说是很多人的共同回忆了,而里面的黄蓉就是魏秋桦扮演的。她出演的黄蓉也算是很经典的了,其实也是这个黄蓉,给人留下了很深的印象,因为她的角色不算是很多,虽然…… 查看全文>>






